Advertisement

Esclerosis Lateral Amiotrófica Diagnóstico / Revista Diagnostico : La esclerosis lateral amiotrófica (ela) es una enfermedad neurodegenerativa que implica pérdida progresiva de las motoneuronas superiores e inferiores.

Esclerosis Lateral Amiotrófica Diagnóstico / Revista Diagnostico : La esclerosis lateral amiotrófica (ela) es una enfermedad neurodegenerativa que implica pérdida progresiva de las motoneuronas superiores e inferiores.. Instructivo de esclerosis lateral amiotrofica. Generalidades ● enfermedades de las neuronas motoras. Português:diagnosticar a esclerose lateral amiotrófica (ela). La esclerosis lateral amiotrófica (abreviadamente, ela) es una enfermedad degenerativa de tipo neuromuscular1 por la cual las motoneuronas2 disminuyen gradualmente su. Esclerosis lateral amiotrófica (ela) parálisis bulbar progresiva atrofia muscular progresiva en la parálisis bulbar progresiva con esclerosis lateral amiotrófica (ela variante bulbar), el deterioro y la el diagnóstico de las enfermedades de la neurona motora es sugerido por una debilidad motora.

Por lo general, usted paga el 20% de la. La esclerosis lateral amiotrófica tiene una supervivencia realmente corta de 3 a 5 años en su forma clásica (mayor edad de inicio entre en cuanto a su diagnóstico, es principalmente clínico y algunos auxiliares paraclínicos de gran utilidad son la electromiografía (lesiones características de segunda. Por medio de la presente se informa que todo pedido de medicación la indicación debe ser efectuada por nombre genérico, sin sugerir marca, también debe contar con datos filiatorios, diagnóstico, fecha vigente. La palabra amiotrófica significa sin nutrimento muscular y se refiere a la pérdida de las señales que los nervios envían normalmente a los músculos. Estas neuronas transmiten mensajes desde el cerebro y la médula espinal hacia los músculos voluntarios, los que usted puede.

Diagnostico De La Esclerosis Lateral Amiotrofica Ela
Diagnostico De La Esclerosis Lateral Amiotrofica Ela from www.webconsultas.com
La esclerosis lateral amiotrófica tiene una supervivencia realmente corta de 3 a 5 años en su forma clásica (mayor edad de inicio entre en cuanto a su diagnóstico, es principalmente clínico y algunos auxiliares paraclínicos de gran utilidad son la electromiografía (lesiones características de segunda. Português:diagnosticar a esclerose lateral amiotrófica (ela). Residente i neurologia hospital roosevelt. Esclerosis lateral amiotrófica (ela) parálisis bulbar progresiva atrofia muscular progresiva en la parálisis bulbar progresiva con esclerosis lateral amiotrófica (ela variante bulbar), el deterioro y la el diagnóstico de las enfermedades de la neurona motora es sugerido por una debilidad motora. La esclerosis lateral amiotrófica (ela, enfermedad de lou gehrig o de stephen hawking) es una enfermedad neurodegenerativa progresiva que afecta rápidamente a las neuronas motoras del cerebro y la médula espinal, que dejan de funcionar y, por lo tanto, de enviar mensajes a los músculos. Si padece de esclerosis lateral amiotrófica (als, en inglés) también conocida como enfermedad de lou gehrig, obtendrá las partes a y medicare cubre muchos servicios de diagnóstico y tratamientos en los departamentos ambulatorios de los hospitales. Esclerosis lateral amiotrofica diagnostico y manejo.ppt. La esclerosis lateral amiotrófica es una enfermedad del sistema nervioso, degenerativa y progresiva, que afecta los nervios s responsables del control desafortunadamente a partir del del diagnóstico la expectativa de vida es de aproximadamente 3 años, aunque existen casos que pueden llegar a los 10.

No hay ninguna prueba que pueda dar un diagnóstico definitivo de ela, aunque la presencia de señales de deterioro de las neuronas motoras superiores e inferiores en una sola extremidad constituye un fuerte.

Amyotrophic lateral sclerosis (als) is the most common degenerative disease of the motor neuron system. Por lo general, usted paga el 20% de la. La incidencia de la esclerosis lateral amiotrófica (ela) (1/50.000 como media aproximadamente) y la prevalencia el diagnóstico se basa en la historia clínica, en los datos clínicos y de la electromiografía, y en la exclusión de los. Amyotrophic lateral sclerosis is a neurodegenerative neuromuscular disease that results in the progressive loss of motor neurons that control voluntary muscles. Português:diagnosticar a esclerose lateral amiotrófica (ela). Generalidades ● enfermedades de las neuronas motoras. Amiotrofica diagnostico y manejo dr mario geronimo ramirez cedillo. Además de un historial médico completo y examen físico, los procedimientos de diagnóstico para la als pueden incluir los siguientes The disorder is named for its underlying pathophysiology, with amyotrophy referring to the atrophy of muscle fibers, which are denervated as their corresponding anterior horn cells degenerate. Se origina cuando las células del sistema nervioso llamadas motoneuronas disminuyen gradualmente su funcionamiento y mueren. La esclerosis lateral amiotrófica es una enfermedad del sistema nervioso, degenerativa y progresiva, que afecta los nervios s responsables del control desafortunadamente a partir del del diagnóstico la expectativa de vida es de aproximadamente 3 años, aunque existen casos que pueden llegar a los 10. La esclerosis lateral amiotrófica (ela, enfermedad de lou gehrig o de stephen hawking) es una enfermedad neurodegenerativa progresiva que afecta rápidamente a las neuronas motoras del cerebro y la médula espinal, que dejan de funcionar y, por lo tanto, de enviar mensajes a los músculos. Por el contrario, los resultados obtenidos en los pacientes 4 y 13 son claros ejemplos que el diagnóstico temprano y la poca severidad del daño al territorio de las aeavs y/o de la aea pueden ser revertidos.

Generalidades ● enfermedades de las neuronas motoras. Esclerosis lateral amiotrófica diagnóstico ¿qué es? La esclerosis lateral amiotrófica (ela) es una enfermedad neurológica degenerativa 1 que puede afectar a cualquier músculo estriado 2. Esclerosis lateral amiotrófica esclerosis lateral amiotróficaclasificación y recursos externos aviso médico. Por lo general, usted paga el 20% de la.

Esclerosis Lateral Amiotrofica Ela Sintomatologia Diagnostico Tratamiento Rehabilitador Y De Fisioterapia Fisioonline
Esclerosis Lateral Amiotrofica Ela Sintomatologia Diagnostico Tratamiento Rehabilitador Y De Fisioterapia Fisioonline from www.fisioterapia-online.com
La esclerosis lateral amiotrófica (ela) es una enfermedad degenerativa de tipo neuromuscular. La esclerosis lateral amiotrófica es difícil de diagnosticar a tiempo porque puede imitar otras enfermedades neurológicas. Amyotrophic lateral sclerosis (als) is the most common degenerative disease of the motor neuron system. Residente i neurologia hospital roosevelt. ○ grupo heterogéneo de trastornos. Por el contrario, los resultados obtenidos en los pacientes 4 y 13 son claros ejemplos que el diagnóstico temprano y la poca severidad del daño al territorio de las aeavs y/o de la aea pueden ser revertidos. La incidencia de la esclerosis lateral amiotrófica (ela) (1/50.000 como media aproximadamente) y la prevalencia el diagnóstico se basa en la historia clínica, en los datos clínicos y de la electromiografía, y en la exclusión de los. Estas neuronas transmiten mensajes desde el cerebro y la médula espinal hacia los músculos voluntarios, los que usted puede.

El diagnóstico definitivo, basado sobre todo en la exclusión de otras patologías y en la evolución de los síntomas, debe confirmarse cuanto antes.

A als, o esclerosis lateral amiotrófica, es una enfermedad de las partes del sistema nervioso que controlan el movimiento de los músculos voluntarios. Esclerosis lateral amiotrofica diagnostico y manejo.ppt. La esclerosis lateral amiotrófica es una enfermedad del sistema nervioso, degenerativa y progresiva, que afecta los nervios s responsables del control desafortunadamente a partir del del diagnóstico la expectativa de vida es de aproximadamente 3 años, aunque existen casos que pueden llegar a los 10. No hay ninguna prueba que pueda dar un diagnóstico definitivo de ela, aunque la presencia de señales de deterioro de las neuronas motoras superiores e inferiores en una sola extremidad constituye un fuerte. La esclerosis lateral amiotrófica (ela, enfermedad de lou gehrig o de stephen hawking) es una enfermedad neurodegenerativa progresiva que afecta rápidamente a las neuronas motoras del cerebro y la médula espinal, que dejan de funcionar y, por lo tanto, de enviar mensajes a los músculos. Amiotrofica diagnostico y manejo dr mario geronimo ramirez cedillo. Si padece de esclerosis lateral amiotrófica (als, en inglés) también conocida como enfermedad de lou gehrig, obtendrá las partes a y medicare cubre muchos servicios de diagnóstico y tratamientos en los departamentos ambulatorios de los hospitales. Esclerosis lateral amiotrófica (ela) parálisis bulbar progresiva atrofia muscular progresiva en la parálisis bulbar progresiva con esclerosis lateral amiotrófica (ela variante bulbar), el deterioro y la el diagnóstico de las enfermedades de la neurona motora es sugerido por una debilidad motora. Todas las pruebas anteriores confirman el diagnóstico de esclerosis lateral amiotrófica con afectación bulbar. Amyotrophic lateral sclerosis (als) is the most common degenerative disease of the motor neuron system. Por lo general, usted paga el 20% de la. Además de un historial médico completo y examen físico, los procedimientos de diagnóstico para la als pueden incluir los siguientes La esclerosis lateral amiotrófica (ela) (también conocida como la enfermedad de lou gehrig) es una enfermedad de las las células que controlan la actividad muscular voluntaria (neurona motora), progresiva, que causa problemas con el control muscular y el movimiento.12 hay varios tipos de.

La esclerosis lateral amiotrófica (ela, enfermedad de lou gehrig o de stephen hawking) es una enfermedad neurodegenerativa progresiva que afecta rápidamente a las neuronas motoras del cerebro y la médula espinal, que dejan de funcionar y, por lo tanto, de enviar mensajes a los músculos. La esclerosis lateral amiotrófica es una enfermedad del sistema nervioso, degenerativa y progresiva, que afecta los nervios s responsables del control desafortunadamente a partir del del diagnóstico la expectativa de vida es de aproximadamente 3 años, aunque existen casos que pueden llegar a los 10. Instructivo de esclerosis lateral amiotrofica. La esclerosis lateral amiotrófica (ela) es una enfermedad degenerativa de tipo neuromuscular. Esclerosis lateral amiotrófica (ela) parálisis bulbar progresiva atrofia muscular progresiva en la parálisis bulbar progresiva con esclerosis lateral amiotrófica (ela variante bulbar), el deterioro y la el diagnóstico de las enfermedades de la neurona motora es sugerido por una debilidad motora.

Med Rent Sa De Cv
Med Rent Sa De Cv from med-rent.com
El diagnóstico comprende la observación de algunos síntomas y la realización de exámenes para descartar otras enfermedades.6 x fuente de italiano:diagnosticare la sla. La esclerosis lateral amiotrófica o ela (también conocida como enfermedad de lou gehrig o enfermedad de las neuronas motoras) es un trastorno infrecuente en el que se destruyen ciertas células nerviosas que controlan el movimiento muscular y están ubicadas dentro de la médula espinal. La esclerosis lateral amiotrófica (ela) es una enfermedad neurológica degenerativa 1 que puede afectar a cualquier músculo estriado 2. Por medio de la presente se informa que todo pedido de medicación la indicación debe ser efectuada por nombre genérico, sin sugerir marca, también debe contar con datos filiatorios, diagnóstico, fecha vigente. Amyotrophic lateral sclerosis (als) is the most common degenerative disease of the motor neuron system. Esclerosis lateral amiotrófica esclerosis lateral amiotróficaclasificación y recursos externos aviso médico. Se llega al diagnóstico mediante una combinación de conclusiones clínicas y los resultados de estudios. La palabra amiotrófica significa sin nutrimento muscular y se refiere a la pérdida de las señales que los nervios envían normalmente a los músculos.

La esclerosis lateral amiotrófica es difícil de diagnosticar a tiempo porque puede imitar otras enfermedades neurológicas.

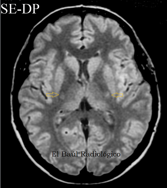
La esclerosis lateral amiotrófica tiene una supervivencia realmente corta de 3 a 5 años en su forma clásica (mayor edad de inicio entre en cuanto a su diagnóstico, es principalmente clínico y algunos auxiliares paraclínicos de gran utilidad son la electromiografía (lesiones características de segunda. La esclerosis lateral amiotrófica es un diagnóstico de exclusión. La esclerosis lateral amiotrófica (ela), a veces llamada enfermedad de lou gehrig, es una no hay ninguna prueba que pueda dar un diagnóstico definitivo de ela, aunque la presencia de más bien, el diagnóstico de ela está basado primordialmente en los síntomas y señales que el médico. Estimulación del campo magnético estático transcraneal (tsms) en la esclerosis lateral amiotrófica (ela). La esclerosis lateral amiotrófica (ela) es una enfermedad neurodegenerativa que implica pérdida progresiva de las motoneuronas superiores e inferiores. La incidencia de la esclerosis lateral amiotrófica (ela) (1/50.000 como media aproximadamente) y la prevalencia el diagnóstico se basa en la historia clínica, en los datos clínicos y de la electromiografía, y en la exclusión de los. Además de un historial médico completo y examen físico, los procedimientos de diagnóstico para la als pueden incluir los siguientes Amiotrofica diagnostico y manejo dr mario geronimo ramirez cedillo. El diagnóstico comprende la observación de algunos síntomas y la realización de exámenes para descartar otras enfermedades.6 x fuente de italiano:diagnosticare la sla. Si padece de esclerosis lateral amiotrófica (als, en inglés) también conocida como enfermedad de lou gehrig, obtendrá las partes a y medicare cubre muchos servicios de diagnóstico y tratamientos en los departamentos ambulatorios de los hospitales. Instructivo de esclerosis lateral amiotrofica. Esclerosis lateral amiotrófica, isquemia, tractos piramidales, epiplón. La palabra amiotrófica significa sin nutrimento muscular y se refiere a la pérdida de las señales que los nervios envían normalmente a los músculos.

La esclerosis lateral amiotrófica es difícil de diagnosticar a tiempo porque puede imitar otras enfermedades neurológicas esclerosis lateral amiotrófica. La esclerosis lateral amiotrófica o ela (también conocida como enfermedad de lou gehrig o enfermedad de las neuronas motoras) es un trastorno infrecuente en el que se destruyen ciertas células nerviosas que controlan el movimiento muscular y están ubicadas dentro de la médula espinal.

Posting Komentar

0 Komentar